- Общие правила проведения рентгенологических исследований, правила организации деятельности и стандарт оснащения кабинета рентгеновского маммографического регламентируются приказом Министерства здравоохранения РФ от 9 июня 2020 г. № 560н «Об утверждении Правил проведения рентгенологических исследований».
- Основные требования к проектированию кабинетов рентгенодиагностики указаны в СанПиН 2.6.1.1192-03 «Гигиенические требования к устройству и эксплуатации рентгеновских кабинетов, аппаратов и проведению рентгенологических исследований». Его дополняют следующие нормативные акты: СанПиН 2.1.3.2630-10 «Санитарно-эпидемиологические требования к организациям, осуществляющим медицинскую деятельность», СП 158.13330.2014 «Здания и помещения медицинских организаций. Правила проектирования», СНиП 31-06-2009 «Общественные здания и сооружения».
- Защита от рентгеновского излучения должна соответствовать требованиям законодательства и нормативных документов, действующих на территории Российской Федерации, в частности: СанПиН 2.6.1.2523-09 «Нормы радиационной безопасности (НРБ-99/2009)», СП 2.6.1.2612-10 «Основные санитарные правила обеспечения радиационной безопасности (ОСПОРБ 99/2010)», СП 2.6.1.758-99 «Нормы радиационной безопасности (НРБ-99)», федеральный закон от 9 января 1996 г. N 3-ФЗ «О радиационной безопасности населения».
- Основные и наиболее значимые технические характеристики рентгеновских маммографов указаны в следующих нормативных документах: ГОСТ Р 56311-2014 «Изделия медицинские электрические. Аппараты рентгеновские маммографические с цифровой регистрацией изображения. Технические требования для государственных закупок», ГОСТ Р 56322-2014 «Изделия медицинские электрические. Устройства маммографические для стереотаксиса. Технические требования для государственных закупок», ГОСТ Р 58448-2019 «Изделия медицинские. Аппараты рентгеновские маммографические с цифровой регистрацией изображения. Существенные технические характеристики»
Как выбрать маммограф?

Введение. Нормативная база
Шаг 1. Аналоговая или цифровая маммография
Исследования молочной железы с помощью рентгеновского маммографа могут отличаться способом записи изображения. По такому принципу все оборудование можно разделить два типа:
- аналоговый маммограф, результат исследования сохраняется на рентгеновской плёнке;
- цифровой маммограф, изображение молочной железы сохраняется в цифровом виде на консоли оператора или рабочем месте рентгенолаборанта для дальнейшей передачи и анализа врачом рентгенологом.
Особенности аналоговых рентгеновских маммографов
В настоящее время в Российской Федерации доля эксплуатируемых аналоговых рентгеновских аппаратов составляет порядка 50 % от общего числа оборудования.
Аналоговый маммограф стоит существенно дешевле, чем цифровой, но для его эксплуатации потребуется:
- выделить отдельное помещение и организовать работу проявочной, так называемой «тёмной комнаты»;
- периодически закупать расходные материалы (рентгеновскую пленку и химические реактивы для её проявки);
- утилизировать отработанные химические реактивы;
- организовать работу архива для хранения экспонированной пленки и поддерживать в нем постоянство климатических условий (температура, влажность, освещённость, радиоактивный фон).
Зачастую проявленная пленка отбраковывается из-за:
- неправильно сделанной укладки молочной железы,
- неправильно выбранного режима съёмки (условий экспозиции).
Это приводит к повторной съёмке, повышению лучевой нагрузки на пациента, увеличению длительности обследования, дополнительным тратам на расходные материалы.
Все вышесказанное можно свести в таблицу:
| ПРЕИМУЩЕСТВА | НЕДОСТАТКИ |
| низкая цена | низкая информативность |
| менее дорогостоящий ремонт | расходы на плёнку и реактивы |
| простое обслуживание | длительный сбор информации |
| потребность в доп. помещениях |
Аналоговый рентгеновский маммограф:
Цифровые маммографы лишены этих недостатков.
Преимущества цифровой маммографии
- получение более информативных изображений молочных желез любого размера и плотности
- снижение дозы облучения пациентов
- быстрый доступ к полученным изображениям на экране монитора консоли оператора для оценки качества
- возможность корректировки цифровых изображений (изменение яркости, контрастности, наложения различных цифровых фильтров и многое другое)
- облегчение процесса и повышение точность анализа снимков врачом рентгенологом
- хранение и передача изображений в электронном виде
- совместимость с устройствами автоматического выявления патологий
- низкая себестоимость обследования
У некоторых производителей рентгеновский маммограф может быть как в аналоговом, так и в цифровом исполнении, например:
В настоящее время покупка аналогового маммографа будет оправдана, если в организации уже имеется комната для проявки рентгеновской пленки или есть в наличие система компьютерной радиографии, о которой пойдет речь далее.
Шаг 2. Виды цифровой маммографии
Цифровой снимок молочной железы может быть получен с применением трёх основных приемников рентгеновского изображения.
1. С применением системы компьютерной радиографии (CR - Computed Radiography). В кассетодержатель аналогового маммографа устанавливается специальная CR-кассета. Рентгеновское изображение сохраняется на пластине, покрытой слоем запоминающего люминофора. Отснятая CR-кассета извлекается из кассетодержателя и устанавливается в считывающее устройство (дигитайзер), в котором из неё извлекается пластина, считывается изображение и очищается для дальнейшего использования.
Подобные системы с каждым годом встречаются всё реже, и они могут быть реализованы с аналоговыми моделями маммографов, указанными ранее.
2. С применением сканирующей линейки матричных детекторов. Формирование снимка осуществляется путем сканирования молочной железы узким пучком рентгеновского излучения синхронно с перемещением детектора при помощи привода механизма сканирования. В процессе сканирования сигналы запоминаются в виде столбца цифрового изображения с последующим формированием полноформатного снимка.
Эта технология реализована у ограниченного числа производителей:
3. С применением плоскопанельного матричного детектора. В маммографах с плоскопанельными детекторами преобразование рентгеновского излучения в цифровой снимок происходит со всей активной области матрицы детектора без сканирования. А время получения изображения зависит от времени экспозиции и скорости обработки данных цифровой системой. Эта технология реализована у подавляющего большинства производителей.
Шаг 3. Формат приемника рентгеновского изображения
В маммографии существует два общепринятых формата приемника рентгеновского изображения: 18х24 см и 24х30 см. На приемнике 18х24 см одномоментно (за одну экспозиции, без дополнительной укладки) можно исследовать грудь приблизительно до 2 размера включительно, а на приемнике 24х30 см - до 5 размера включительно.
Маммографы, рассчитанные на работу с приемников 18х24 см, стоят дешевле своих аналогов 24х30 см, однако маммографы с приемником 24х30 см являются более универсальными в своем применении.
Следует отметить, что исследование молочной железы большего размера, чем формат приемника, осуществляется в несколько экспозиций, что приводит к увеличению лучевой нагрузки на пациента, повышению общего времени обследования, повышению дискомфорта пациента, вызванного многократной компрессией органа, кроме этого, усложняется анализ серии рентгенограмм врачом рентгенологам.
Простой пример: во время скринингового обследования исследуют обе молочные железы в двух проекция (прямой и косой), если молочная железа целиком помещается на приемник, то делают четыре снимка, если молочную железу приходится снимать в два этапа, то делают уже 8 снимков.
◄ прямая проекция (кранио-каудальная) – CC (КК)
◄ косая проекция (медио-латеральная) – MLO (МЛК)
На рынке рентгеновской техники, встречается не так много моделей маммографов с приемником 18х24 см:
- Bemems Pinkview-RT
- Bemems Pinkview-AT
- Bemems Pinkview-AT Digital Prime
- Амико МАММО-РП
- GENORAY MX-600
- Siemens Mammomat Select
Подавляющее большинство маммографов комплектуются приемниками 24х30 см.
Шаг 4. Разновидности плоскопанельных матричных детекторов
Плоскопанельный матричный детектор представляет собой электронное устройство прямоугольной формы, размещенное в металлическом или пластиковом корпусе, который защищен карбоновым экраном. Карбон пропускает рентгеновское излучение, не оказывая влияния на качество изображения. Внутри корпуса находится светочувствительная матрица, которая может быть покрыта слоем сцинтиллятора, материал которого преобразует рентгеновское излучение в видимый свет. Сцинтилля́торы — это вещества, излучающие свет при поглощении ионизирующего излучения (гамма-квантов, электронов, альфа-частиц, электромагнитных волн рентгеновского излучения).
Существует два вида преобразования рентгеновского излучения в электрический сигнал:
1. Непрямое – рентгеновское излучение сначала преобразуется в свет при помощи сцинтиллятора, а затем в электрический сигнал при помощи светочувствительной матрицы из аморфного кремния (a-Si).
2. Прямое – рентгеновское излучение сразу преобразуется в электрический сигнал.
Такие плоскопанельные детекторы оснащены фотопроводником из аморфного селена (a-Se), который самостоятельно захватывает рентгеновские фотоны и преобразует их в электрический заряд.
Плоскопанельные детекторы прямого преобразования стоят существенно дороже детекторов непрямого преобразования, они чувствительны к окружающей среде, не переносят резких перепадов температур. Маммографы с такими приемниками предъявляют особые требования к стабильности питающей сети, а завод изготовитель зачастую рекомендует подключать оборудование к электросети лечебного учреждения через стабилизатор напряжения или через источник бесперебойного питания. При этом качество цифровых снимков, полученных с плоскопанельных детекторов прямого преобразования, существенно выше за счет большего соотношения сигнал/шума, больших значений функции передачи модуляции (MTF - Modulation Transfer Function) и квантовой эффективности регистрации (DQE - Detective Quantum Efficiency).
DQE оценивается как функция пространственной частоты и дозы в плоскости приёмника, и характеризует коэффициент эффективного поглощения квантов рентгеновского излучения материалом детектора. Так же DQE дает представление о возможности получения изображений объектов, имеющих различные размеры и контраст.
MTF характеризует зависимость между передаваемым контрастом детали и ее размером. Чем выше значение MTF, тем контрастнее мелкие детали отображаются на рентгеновском снимке.
Маммографы с плоскопанельным детектором прямого преобразования относятся к более высокому классу (экспертному или премиальному).
Маммографы с плоскопанельным детектором прямого преобразования сигнала:
Маммографы, которые могут комплектоваться плоскопанельным детектором прямого или непрямого преобразования:
Маммографы с плоскопанельным детектором непрямого преобразования сигнала:
Шаг 5. Снимочный штатив
Подавляющее большинство маммограф выполнены на снимочном штативе С-образной формы.
У некоторых производителей снимочные штативы имеют иные формы, встречаются кольцеобразные и еще реже горизонтальные штативы.
На горизонтальном штативе пациент размещается на животе лицом вниз, а молочная железа проходит через апертуру стола насквозь.
У кольцеобразного штатива есть возможность перемещения во всех трёх плоскостях.
Передне-наклонная проекция (ПКП или FOA) на маммографе с кольцеобразным штативом увеличивает площадь снимка в среднем на 2 см. На снимке появляется ретромаммарное пространство, где часто определяется рак молочной железы.


С-образный штатив / Кольцевой штатив
Шаг 6. Назначение маммографа
Согласно основному назначению, маммографические рентгеновские аппараты делятся на скрининговые и диагностические.
Особенности скрининговых маммографов
1. К рентгеновскому питающему устройству не предъявляется особых требований:1.1 мощность генератора обычно колеблется от 3 до 5 кВт,
1.2 диапазон регулирования анодного напряжения составляет от 20 до 35 кВ,
1.3 максимальный анодный ток редко превышает 100 мА.
2. Устанавливается «стандартный» низкобюджетный излучателя:
2.1 диск анода обычно выполнен из молибдена,
2.2 один угол наклона анода,
2.3 рассеяние тепла анодом редко превышает 12 kHU/мин,
2.4 дополнительный фильтр выполнен из молибдена или алюминия.
3. К снимочному штативу не предъявляется повышенных требований:
3.1 фокусное расстояние колеблется от 60 до 65 см,
3.2 нет возможности регулирования фокусного расстояния,
3.3 достаточным углом поворота съемочного узла в вертикальной плоскости считается ± 90°,
3.4 отсутствует система дополнительных сменных фильтров.
4. Минимальный набор принадлежностей:
4.1 обычно отсутствует возможность съемки с увеличением (специальное устройства - столик),
4.2 обычно отсутствует возможность прицельной съемки (специальная компрессионная пластина квадратной или округлой формы),
4.3 нет компрессионных пластин для 2D биопсии, нет приставки для стереотаксической биопсии.
5. Минимальный набор функционала программного обеспечения консоли оператора:
5.1 достаточно наличия функции автоматического расчета дозы пациента,
5.2 отсутствие функции цифрового томосинтеза (DBT - Digital Breast Tomosynthesis),
5.3 отсутствует функция контрастной спектральной двуэнергетической маммографии (CESM - Contrast Enhanced Spectral Mammography).
Особенности диагностических маммографов
1. Повышенные требования к рентгеновскому питающему устройству:
1.1 мощность генератора от 5 кВт,
1.2 диапазон регулирования анодного напряжения обычно составляет от 20 до 49 кВ,
1.3 максимальный анодный ток превышает 100 мА.
2. Рентгеновский излучатель с высокими техническими характеристиками:
2.1 анодный диск выполнен из вольфрама или сплава нескольких металлов,
2.2 биангулярный анода (анодный диск имеет два угла наклона),
2.3 скорость вращения анода от 8500 об/мин,
2.4 высокая скорость рассеяния тепла анодом от 60 kHU/мин,
2.5 наличие дополнительных фильтров (Rh, Ag, Cu и пр.)
3. Более функциональный снимочный штатив:
3.1 фокусное расстояние от 65 см,
3.2 угол поворота съемочного узла в вертикальной плоскости примерно ± 180°,
3.3 автоматическое позиционирование снимочного узла при выборе проекции,
3.4 изоцентрическое вращение снимочного узла,
3.5 наличие системы автоматической смены фильтров.
4. Расширенный набор принадлежностей в комплекте поставки:
4.1 наличие принадлежностей для съемки с увеличением,
4.2 наличие принадлежностей для прицельной съемки,
4.3 опциональная доступность приставки для стереотаксической биопсии,
4.4 опциональная доступность функции DBT и сопутствующих принадлежностей.
5. Улучшенная комплектация консоли оператора:
5.1 производительный ПК,
5.2 наличие диагностического монохромного монитора (2 Мп, 3 Мп или выше),
5.3 наличие дополнительного сенсорного монитора управления маммографом.
6. Расширенный набор функционала программного обеспечения консоли оператора:
6.1 улучшенный постпроцессинг,
6.2 опциональное наличие ПО для стереотаксиса и биопсии,
6.3 опциональная доступность функции DBT,
6.4 опциональная доступность функции CESM.
Следует отметить, что скрининговые маммографы экспертного и премиального класса зачастую обладают рядом характеристик и принадлежностей, характерных диагностическим маммографам.
Основной набор принадлежностей диагностических маммографов
Компрессионные пластины различных форматов



В зависимости от высоты устройства достигается коэффициент геометрического увеличения объекта исследования 1.5х, 1.8х или 2.0х.
Метод прицельной маммографии с увеличением применяется для более детального исследования определенной области молочной железы. Он отличается высокой точностью диагностики. В отличие от обычной маммографии, которая предоставляет более общую информацию о состоянии молочных желез, прицельная маммография с увеличением позволяет получить точные данные о процессах, происходящих в тканях, благодаря методу компрессии конкретного участка.
Шаг 7. Нужна ли приставка для стереотаксической биопсии?
Приставка для стереотаксической биопсии предназначена для автоматического параметрического расчета и позиционирования держателя биопсийной иглы в точку забора ткани.
В настоящее время сделаны попытки установить точный диагноз злокачественной опухоли до операции, чтобы избежать ошибок при ее позднем выявлении. Для этого используется биопсия молочной железы под контролем рентгена, известная как стереотаксическая пункционная биопсия. Стереотаксическая биопсия образований под рентгеновским контролем по последним данным является безопасным и эффективным методом интервенционной диагностики как злокачественных новообразований, так и доброкачественных процессов.
Перечень необходимого оборудования для проведения стереотаксической биопсии молочной железы следующий:
- Система маммографическая со стереотаксической цифровой биопсийной приставкой.
- Инструментарий для биопсии:
- биопсийный пистолет,
- набор одноразовых игл для биопсии различного калибра и длины,
- по возможности – стул для биопсии или стол для горизонтальной биопсии.
Показания для стереотаксической биопсии молочной железы под рентгеновским контролем:
- непальпируемые узловые образования с признаками злокачественности (BI-RADS 4,5), такими как нечеткие или тяжистые контуры, неоднородная структура за счет кальцинатов злокачественного типа, рост образования в динамике;
- сгруппированные микрокальцинаты без видимого узлового образования (BI-RADS 4,5);
- тяжистая перестройка структуры локального характера с вкраплениями микрокальцинатов или без них (BI-RADS 4,5);
- в зависимости от клинического подозрения и предпочтения пациента поражение, классифицируемое как категория 3 по BI-RADS и визуализируемое только при маммографии, также может быть направлено на биопсию.
Список маммографов с возможностью оснащения приставкой для стереотаксической биопсии:
Шаг 8. Нужна ли функция цифрового томосинтеза (DBT)?
Томосинтез - это реконструктивный рентгенологический метод исследования, представляющий собой последовательность томограмм, произведенных на заданную глубину с фиксированным расстоянием между ними. Цифровой томосинтез (DBT) использует возможности трехмерной маммографии для получения и анализа срезов, что позволяет удалить близлежащие ткани и повысить качество диагностики, особенно при плотной ткани молочной железы.
Принцип получения изображения при томосинтезе
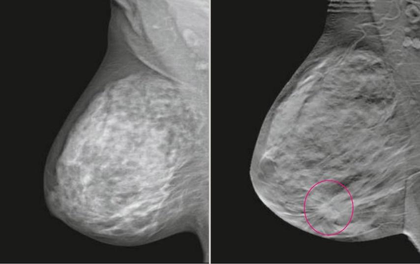
Процесс получения изображений при томосинтезе основан на создании серии снимков с разными шагами, от 0,5 мм до 5 мм, а также на создании суммационного (синтетического) изображения, аналогичного двухмерной маммографии. Результаты томосинтеза отличаются от обычных двухмерных маммограмм, подобно тому, как рентгеновская компьютерная томография отличается от обычной рентгенографии.
Пример сравнения классической маммограммы и томосинтезного среза

FFDM (2D) / BTM (3D)
Цифровой томосинтез, или 3D маммография, часто используется вместе с классической 2D маммографией для обследования плотных молочных желез или в качестве дополнительного метода при обнаружении патологий. Основным показанием для выполнения 3D маммографии является высокая плотность молочных желез (ACR C и D). В таких случаях может быть проведена маммография как в 2D, так и в 3D режимах в качестве основного метода обследования для пациентов старше 40 лет. В редких случаях томосинтез может быть использован после маммографии у женщин с низкой плотностью молочных желез для дополнительной диагностики, например, при подозрении на опухоль в молочной железе.
Рентгенологическая плотность молочных желез
Плотность молочных желез определяет соотношение "плотных" (железистой и фиброзной) и "прозрачных" (жировой) тканей в молочной железе. Существует 4 типа плотности молочных желез, обозначаемые латинскими буквами от А (преимущественно жировая ткань) до D (преимущественно фиброзная и железистая ткани). Плотность молочных желез зависит от многих факторов, основным из которых является генетика.
Факторы качества цифрового томосинтеза (DBT)
- Угол наклона рентгеновского излучателя. Больший угол даёт больше информации, т.к. уменьшается степень наслоения соседних объектов.
- Количество получаемых проекций. Чем больше количество проекций, тем меньше уровень артефактов.
- Толщина среза влияет на степень наслоения по вертикали соседних объектов.
- Размер пикселя активного элемента матрицы детектора всегда обратно пропорционален качеству визуализации.
- Уровень дозы облучения пациента.
- Цифровая маммография - от 0,3 до 5,3 мГр.
- Цифровой томосинтез - от 0,6 до 3,5 мГр.
При толщине молочной железы 5 мм и 50 % плотности железистой ткани:
- цифровая маммография - 1,2 мГр,
- цифровой томосинтез - 1,3 мГр.
Сравнение томосинтезных срезов, сделанных на разных маммографических аппаратах


Преимущества цифрового томосинтеза (DBT)
- Позволяет свести к минимуму проекционные наложения за счет получения набора срезов.
- Повышение визуализации узловых образований на фоне плотной ткани молочной железы.
- Уточнение характера контура узловых образований («звездчатости», «тяжистости»), что дополнительно выявляет от 12 до 45 % патологических находок.
- Определение характера микрокальцинатов, участков скопления микрокальцинатов.
- Чёткое определение узловых образований и их количества (выявление мультицентричного роста).
- Уточняет характер ассиметричной перестройки структуры ткани молочной железы.
Использование цифрового томосинтеза (DBT) обосновано!
- Цифровой томосинтез доказал высокую чувствительность и специфичность в диагностике рака молочной железы и технически готов к скрининговому применению (доза облучения сопоставимы с цифровой маммографией)
- Цифровой томосинтез значительно улучшает визуализацию узловых образований при высокой плотности молочных желез, визуализацию микрокальцинатов, уменьшает эффект «суммации тканей».
- Цифровой томосинтез комфортен в использовании с учётом уменьшения степени компрессии, низкой лучевой нагрузки и быстроты исследования.
- Цифровой томосинтез в будущем изменит алгоритм обследования молочной железы, возможно его использование в скрининговых исследованиях.
Список маммографов с возможностью оснащения функцией цифрового томосинтеза:
Шаг 9. Нужна ли функция контрастной спектральной двуэнергетической маммографии (CESM)?
Контрастная спектральная двухэнергетическая маммография (CESM) является второй передовой после цифрового томосинтеза (DBT) технологией поиска и верификации новообразований молочных желез. Теория CESM основана на успехе МРТ с динамическим контрастным усилением (ДКУ) молочных желез, которая в настоящее время является наиболее чувствительной среди всех методов визуализации, с чувствительностью до 98 %. В настоящее время сравнивают CESM и МРТ с ДКУ, т.к. обе методики чувствительны к васкуляризации, обе методики определяют неоангиогенез опухоли, обе методики выявляют новообразования и размеры опухоли.
Процедура CESM осуществляется на цифровом маммографе, снабженном рентгеновской трубкой с двойной молибдено-родиевой анодной дорожкой и цифровым полноформатным плоскопанельным детектором из аморфного кремния с осаждённым на нём иодидом цезия или, что еще лучше, цифровым полноформатным плоскопанельным детектором из аморфного селена.
Особенностью маммографов с функцией CASM является наличие многослойного фильтра для формирования результирующего изображения с наилучшим отображением йодсодержащего контрастного вещества. Это осуществляется добавлением третьего фильтра для выполнения жестких снимков при CESM к молибденовому и родиевому фильтрам. Этот фильтр обычно выполнен из меди и алюминия – 0,3 мм Al + 0,3 мм Cu. Также используется модификация программного обеспечения для управления процессом получения серий двух снимков с разным режимом экспозиции при CESM. Исследование проводится после внутривенного введения неионного йодсодержащего контрастного препарата с использованием инжектора для введения контрастного вещества.
Методика CESM в тезисах
- Получение двух снимков с разными режимами экспонирования: один снимок «мягкий», значение анодного напряжения находится в диапазоне от 26 до 32 кВ, второй - «жесткий», анодное напряжение устанавливается в пределах от 40 до 49 кВ.
- Снимки делаются после введения пациенту йодсодержащего контрастного вещества внутривенно.
- Снимки выполняют следом друг за другом в течение короткого промежутка времени при одинаковой компрессии молочной железы.
- Далее производится комбинация изображений таким образом, чтобы интенсивность тени в каждой точке снимка была пропорциональна концентрации контраста в соответствующем участке молочной железы.
Шаг 1. Получение низкоэнергетического «мягкого» изображения с использованием стандартных доз, применяемых в маммографах.
Шаг 2. Получение высокоэнергетического «жесткого» изображения с использованием среднего значения мощности излучения.
Шаг 3. Сравнение и вычитание двух изображений, сигнал от фоновой ткани молочной железы подавлен, структуры с контрастным веществом хорошо видны на снимке.
Автоматический инжектор (инъектор) для введения контрастных препаратов
Основные показания к CESM
Оптимизация результатов диагностики при сложной визуальной картине, соответствующей категориям BI-RADS 3,4,5, имеет следующие цели:
- обеспечение более ясной визуализации архитектурной перестройки структуры на фоне плотности;
- уточнение характера скопления подозрительных микрокальцинатов;
- обнаружение мультицентричного/мультифокального роста при подозрении на него;
- диагностика рентген негативного рака;
- получение более точных размеров опухоли.
Клинические примеры применения CESM
Основные выводы по эффективности применения CESM
- Расширяет возможности классических рентгенологических методов, особенно на плотном железистом фоне и при сложной визуальной картине.
- Рентгеновская плотность ткани молочных желез не влияет на диагностические возможности методики.
- Снижает число ложноположительных заключений.
- Сокращает возможное число проведенных инвазивных вмешательств, направленных на морфологическую верификацию подозрительных изменений.
- Позволяет избежать дополнительного назначения рентгенологического контроля для подозрительных участков и увеличить интервалы между динамическими наблюдениями пациентов.
- Даёт возможность до обследования пациентов в одном рентгеновском маммографическом кабинете.
Список маммографов с возможностью оснащения функцией контрастной спектральной двуэнергетической маммографии:
Заключение
Не существует единого стандарта или критериев качества оценки маммографических аппарата, которым должен соответствовать каждый класс оборудования, но можно смело утверждать, что каждому классу аппаратов соответствуют свои количественные характеристики и функциональные возможности.