УЗ исследование щитовидной железы

Дата публикации: 07.02.2020

Исследование щитовидной железы одно из самых простых в ультразвуковой диагностике. Подходов к диагностике очень много, и когда они друг другу противоречат необходимо обратиться к международной практике. На сегодняшний день наиболее авторитетное международная организация это American Institute of Ultrasound in Medicine (AIUM). Данной организацией, по вопросам щитовидной железы, утверждены две системы это ACR (American College of Radiology) Ti-RADS и авторская система (С.И. Матящук) ThyrNoDUM.

Суть в том, что достоверно по сонограмме не возможно определить гистологический тип узлового образования, однако мы может определить статистический тип (ThyrNoDUM) и класс риска с показанием к биопсии по скоринговой системе (ACRTi-RADS).
 
Прибор среднего класса Mindray DC 40 подходит для этой задачи: необходимая частота линейного датчика в 10 Мгц, хорошая разрешающая способность и возможности режима трапеции (exFOV) решают задачи исследования щитовидной железы полностью. Для более четкой визуализации контура узла рекомендуется снизить динамический диапазон до уровня 100 оттенков. Оптимизация динамического диапазона так же помогает когда структура узла не понятна, и кажется не стандартной – количество оттенков серого уменьшается и узел принимает «схематичный» вид, в котором его легко классифицировать.

Рассмотрим системы на примерах:

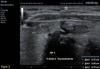
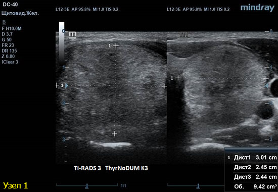
1) Узел занимает всю левую долю, но прорастает капсулу щитовидной железы (0 баллов), больше широкий чем высокий (0 баллов), не имеет кальцинатов (0 баллов), с ровным четким контуром (0 баллов), изоэхогенный (1 балл), тканевой структуры (2 балла). Количество баллов 3, ACRTi-RADS 3, ThyrNoDUMК3. Показана пункция в связи с большим диаметром узла (более 2,5см для Ti-RADS 3)
 
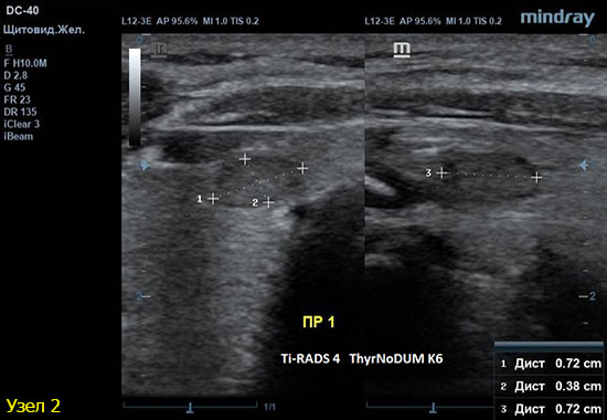
2) Узел у перешейка, не прорастает капсулу щитовидной железы (0 баллов), больше широкий чем высокий (0 баллов), не имеет кальцинатов (0 баллов), с ровным четким контуром (0 баллов), гипоэхогенный (2 балла), тканевой структуры (2 балла). Количество баллов 4, ACRTi-RADS4, ThyrNoDUMК6. Пункция не показана в связи с малым диаметром узла (более 1,5 см для Ti-RADS4), рекомендовано наблюдение.
 
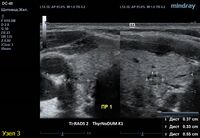
3) Узел правой доли, не прорастает капсулу щитовидной железы (0 баллов), больше широкий чем высокий (0 баллов), не имеет кальцинатов (0 баллов), с ровным четким контуром (0 баллов), изоэхогенный (1 балл), смешанной структуры (1 балл). Количество баллов 2, ACRTi-RADS2, ThyrNoDUMК1. Пункция не показана в связи с низким риском.
 
4) Узел правой доли, не прорастает капсулу щитовидной железы (0 баллов), больше широкий чем высокий (0 баллов), не имеет кальцинатов (0 баллов), с ровным четким контуром (0 баллов), изоэхогенный (1 балл), смешанной структуры (кистозно солидный) (1 балл). Количество баллов 2, ACRTi-RADS2, ThyrNoDUMК1. Пункция не показана в связи с низким риском.
Все статьи Следующая статья
Награды Mindray
Официальный дистрибьютор Mindray
MEDLIGA - официальный дистрибьютор Mindray №1 в России*

8 лет лидерства (2017-2024 г.)

* ежегодная аналитика компании Mindray

Сервисный центр Mindray
MEDLIGA - Золотой сервисный центр Mindray

Сервисный центр удостоен награды Mindray “Gold Service Channel” по итогам 2020, 2022, 2023 и 2024 гг.

Связанные товары