Клапанная недостаточность, всегда ли это патология?

Дата публикации: 11.09.2019

Клапаны сердца выполняют важную гемодинамическую функцию. Доктора привыкли воспринимать любое изменение в структуре или работе клапана как патологию, заболевание с которым необходимо работать. Конечно, такие проблемы как фиброз, склероз, ревматическое поражение клапана часто приводят к нарушению его функции и могут потребовать инвазивной коррекции. Но всегда ли регургитация на клапанах является проблемой, требующей лечения и пристального наблюдения?
 
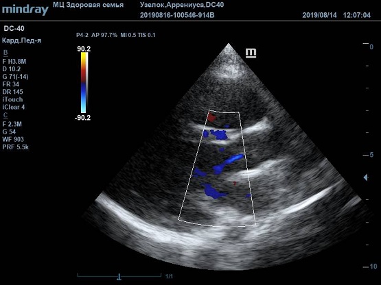
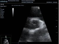
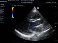
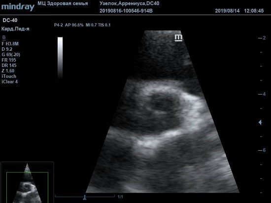
Существует вариантная анатомия, например, наросты Ламбла или гипертрофия узелков Аррениуса на полулуниях аортального клапана. Узелки и наросты увеличивают занимаемый объем полулуния, при этом нарушая конгруэнтность поверхности створок или полулуний клапана. В итоге закрытие осуществляется не полностью, и возникает легкая недостаточность. Именно такие случаи часто обнаруживаются у детей и не требуют специального лечения или пристального наблюдения.
 
Найти их очень просто, достаточно сечений LAXLV (длинная ось) и SAXBASE (короткая ось). Специфические крупные шаровидные структуры – узелки Аррениуса - на кончиках полулуний клапана обнаружил ультразвуковой прибор Mindray DC-40. В цветовом допплере без труда определяется аортальная регургитация легкой степени. Оценить её можно в CFM по соотношению JW/LVOT.
 
Приборы среднего класса прекрасно справляются с этой задачей. Чтобы использовать возможности прибора на максимум необходимо уменьшить поле обзора (Front of view - FOV), тогда увеличится частота кадров и качество картинки при поиске мелких структур. Также частота кадров увеличивается при снижении уровня persistence, что актуально для детского возраста и высокой частоты сокращения сердца.
Все статьи Следующая статья
Награды Mindray
Официальный дистрибьютор Mindray
MEDLIGA - официальный дистрибьютор Mindray №1 в России*

8 лет лидерства (2017-2024 г.)

* ежегодная аналитика компании Mindray

Сервисный центр Mindray
MEDLIGA - Золотой сервисный центр Mindray

Сервисный центр удостоен награды Mindray “Gold Service Channel” по итогам 2020, 2022, 2023 и 2024 гг.

Связанные товары
Категории и бренды в статье